照片中的患者来自西藏,39岁,男性。一年多以前突发四肢抽搐、口吐白沫、意识丧失、头晕。因为没有造成语言、肢体功能障碍,当时没有引起重视,也未就医。后来上述症状频繁发作,少则一周一次,多则一天两次。他在成都某医院检查后被诊断为“脑、肝、肺多部位囊虫病”,口服开浦兰抗癫痫治疗,吡喹酮、甲苯达唑抗囊肿治疗。服用5个月后,患者自己感觉没有明显效果便自行停药。今年9月,患者在石家庄某医院治疗,该院予以卡马西平抗癫痫。不知是“病急乱投医”还是不识字误用,患者还服用了一种名为“驱虫小霸王”的兽用药进行抗虫治疗。但以上治疗在患者看来都是无效,症状仍不断发作。之后患者来到成都西南脑科医院继续治疗。

入院完善相关检查,患者被确诊为“颅内多发占位”。神经外科医生组讨论后,决定为患者实施颅内病灶切除术。手术由国内神经外科医生黄光富教授领衔的手术团队完成。术后,患者恢复情况良好,癫痫症状消失。他和家属非常开心,专程为医护人员献上哈达,表达对他们的感谢和敬意。


脑囊虫病是由于口服了猪肉绦虫虫卵,虫卵发育成囊尾蚴,经消化道穿出肠壁进入肠系膜小静脉,再经体循环而到达脑膜、脑实质以及脑室内引起的。按累及部位不同,可分为脑膜型、脑实质型、脑室内型及混合型。脑实质内囊虫演变过程可分为四个阶段:泡状期,胶状期,结节肉芽肿期和钙化期。

泡状期脑囊虫影像资料

胶状期

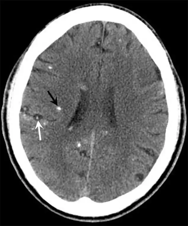
“牛眼征”(白色箭头处)可见于结节肉芽肿期。钙化病灶(黑色箭头处)可见于结节钙化期。

钙化期
科普:脑囊虫病的主要症状
癫痫发作
出现反复发作的各种类型的癫痫,癫痫发作形式多样性及易转换性为其特点。
颅内压增高
以急性起病,进行性加重为特点。头痛为突发性,常伴有呕吐、复视、视乳头水肿。有视力障碍及听力减退。
局灶性症状
1、脑膜型:颅底的蛛网膜出现多个结节粘连致颅底脑神经损害,神经麻痹。致脑脊液循环障碍,出现脑积水。
2、脑实质型:病变在脑实质内,单发或多发的病灶,以精神障碍为主,症状可以复杂多变。主要为:记忆障碍:记忆力差,健忘。思维和判断力障碍:工作能力减退,精神疲劳,言语、动作迟缓,判断力差。性格和情感障碍:精神抑郁,淡漠、呆滞、少言寡语,易激动、冲动。可有失写、失认、失用、幻听、幻视现象。可有肢体感觉、运动障碍。
3、脑室内型:侧脑室、第三脑室、第四脑室内病变影响脑脊液循环,出现脑积水。
4、混合型:同时出现以上症状。
医生提醒,脑囊虫的治疗应根据患者表现、疾病分期和是否存在炎症而采用个性化的方案。丙硫咪唑和吡喹酮作为常见的驱虫药,可减少脑实质中的包囊数量乃至降低癫痫长期发作频率。抗癫痫药是控制脑囊虫病患者癫痫发作的主要手段。外科手术治疗可以用于复杂的病例。

医生链接:黄光富
主任医师、教授。国内神经外科医生,成都西南脑科医院医生组组长,原四川省人民医院神经外科主任。从事神经外科工作30多年,现担任四川省医学会理事、四川省医学会神经外科学分会主任委员、四川省医师协会神经外科分会名誉会长、中华神经外科学会委员、中国神经外科医师协会常委、世界华人神经外科协会委员。
擅长:颅内肿瘤、脑血管等神经外科疾病诊治。

医生链接:肖安兵
主任医师。四川省老年医学会神经外科专委会委员,成都西南脑科医院三病区主任。1987年毕业于重庆医科大学医学系。杭州市“新世纪131优秀中青年科技人才”,杭州市医学会神经外科分会专委会委员,杭州市医学会危重医学分会委员。曾在四川省人民医院、重医附院、上海华山医院等地专科进修。
擅长:颅脑及脊柱脊髓损伤、自发性脑岀血、顽固性癫痫、颅脑及脊柱椎管內肿瘤、三叉神经痛、脊柱退变性疾病的外科治疗。





















